2755784

2806000
2806001
Ένα όμορφο χαμόγελο επηρεάζει την αισθητική ενός ενήλικα, όπως ακριβώς συμβαίνει και στα παιδιά. Είναι δε ιδιαιτέρως σημαντικότερο, αφού μπορεί να επηρεάσει τόσο την επαγγελματική όσο και την κοινωνική ζωή του. Είναι σαφές ότι ίσια και όμορφα δόντια τονώνουν την αυτοπεποίθηση του ατόμου
και προσφέρουν ένα αυθόρμητο χαμόγελο.
Συνεπώς στραβά δόντια, αραιά δόντια, πολύ πεταχτά δόντια, αποτελούν ενδείξεις για ορθοδοντική θεραπεία.
2806003
Λειτουργικές ενδείξεις
2806002
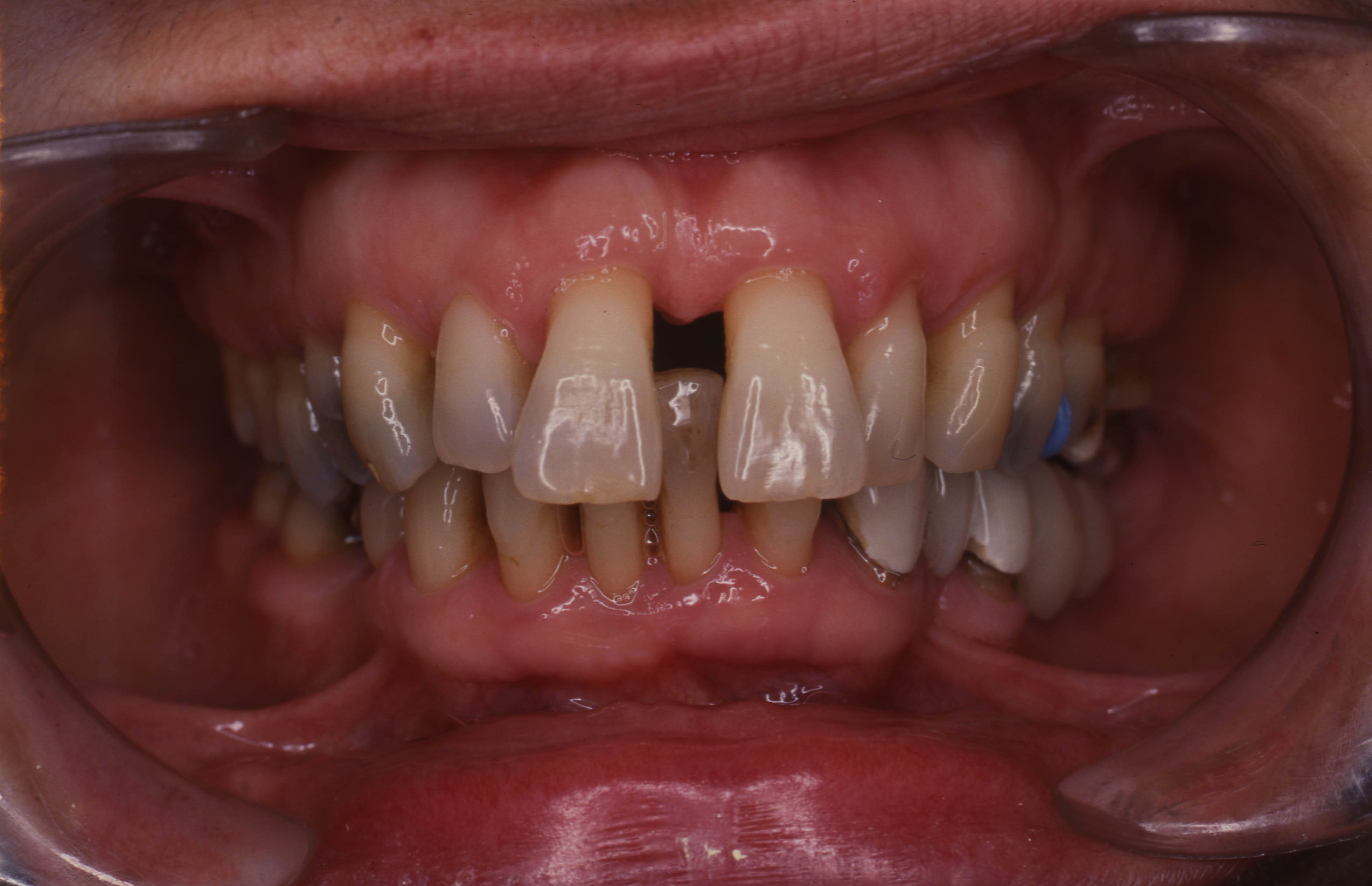
Κατά την περιοδοντική νόσο παρατηρείται μετακίνηση των δοντιών με αποτέλεσμα να δημιουργούνται κενά στα δόντια. Τα κενά αυτά αφενός επηρεάζουν την αισθητική κι αφετέρου προσθέτουν χρόνια στην ηλικία του ασθενούς.

Σε περιπτώσεις που υπάρχουν απώλειες δοντιών που έχουν χαθεί πριν από
χρόνια,παρατηρούνται υπερεκφύσεις, στροφές ή κλίσεις των παρακείμενων δοντιών.
Αυτό δυσκολεύει τον γενικό οδοντίατρο στις αποκαταστάσεις τις προσθετικές (γέφυρες,στεφάνες, εμφυτεύματα). Η ορθοδοντική θεραπεία λοιπόν, επαναφέρει τα δόντια στη σωστή τους θέση, ώστε να μπορούν να γίνουν οι προσθετικές αποκαταστάσεις.
Όταν κλείνουν τα πάνω με τα κάτω δόντια θα πρέπει να καλύπτουν μόνο το 1/3 των κάτω δοντιών. Υπάρχουν όμως περιπτώσεις που τα πάνω δόντια υπερκαλύπτουν τα κάτω με αρνητικές επιπτώσεις, όπως αποτριβή των κάτω δοντιών, τραυματισμό των ούλων και πιθανά προβλήματα στην κροταφογναθική άρθρωση. Σε αυτήν την περίπτωση είναι απαραίτητη η ορθοδοντική θεραπεία για αποφυγή μελλοντικών προβλημάτων.
Οι στροφές δοντιών και η επικάλυψη του ενός με το άλλο αποτελεί προδιαθεσικό παράγοντα για δημιουργία τερηδόνας ή ουλίτιδας, επειδή δεν καθαρίζονται σωστά.
2755737